La tabla periódica : veneno saturnino
Publicado el 4 de abril de 2026
Cristina Galindo Martínez
Ilustración de Lucía Boned
Antes muerta que sencilla
En 2004 María Isabel ganó Eurovisión Junior representando a España con su canción “Antes muerta que sencilla”. Aunque pueda parecer una exageración, hoy en día pocas adolescentes se han salvado de ser apabulladas con rutinas de skincare en redes sociales y vemos publicitar cada vez más nuevas cremas, tónicos y lociones reafirmantes y antiarrugas. Pero nuestra sociedad moderna no es innovadora en ese sentido. Desde las civilizaciones antiguas, hombres y mujeres han utilizado mejunjes y polvos para preservar la belleza, luchar contra la vejez y como símbolo de estatus.
Es verdad que gracias a indicaciones de cuidado y control sanitario somos más conscientes de lo que nos aplicamos en la cara que en aquella época, pero esto es reciente en el mundo de la cosmética. Esto se debe a que se han encontrado muchas sustancias tóxicas como ingrediente principal de útiles y polvos cosméticos; entre ellos, metales pesados como el plomo.
El skincare del siglo XVI
El plomo es un metal que se documenta desde hace más de 8000 años. Fue uno de los primeros que el ser humano aprendió a fundir y utilizar para herramientas cotidianas. En la naturaleza se encuentra normalmente en combinación con otros elementos, dando lugar a la galena (PbS), la anglesita (PbSO4) o la cerusita (PbCO3).
Galena, anglesita y cerusita (de izquierda a derecha).
Tomado de: Clasificación y tipos de minerales, esquemas y ejemplos. Ver en: este enlace
La galena se utilizaba junto con la malaquita (un compuesto verde de cobre) como base para el kohl egipcio, un cosmético que se aplicaba en forma de polvo o como una pasta en el contorno de los ojos para oscurecer los párpados y alargar las pestañas. Este uso de la galena también se ha identificado en individuos de Mesopotamia del mismo periodo, aproximadamente en el 3000 a. C.
Pintura mural de una tumba tebana, en la que se pone de manifiesto el uso del kohl alrededor de los ojos.
Tomado de [3]
Posteriormente, en 1350-1100 a. C. las mujeres griegas comenzaron a usar plomo blanco como máscara facial para eliminar imperfecciones y mejorar la textura de la piel. Su uso se extendió por el Mediterráneo; en el siglo I, Plinio el Viejo (23-79 d. C.) —un reconocido científico y naturalista— indicaba que el plomo podía emplearse como ungüento para eliminar cicatrices o como aditivo en lociones para el tratamiento de úlceras y problemas oculares.
Más adelante, en la Europa del siglo XVI el canon de belleza consistía en una tez suave y pálida. Para alcanzar este ideal, se aclaraba la piel con una mezcla de cerusita con vinagre, incluso entre las mujeres adolescentes. Un rasgo característico marcado en los retratos de la época es una frente muy pronunciada porque el uso excesivo de plomo provocaba la caída del cabello. Curiosamente, esta peculiaridad se consideraba un signo de estatus e inteligencia, hasta el punto de que existía la práctica de depilarse el cabello de la línea frontal para simular este efecto.
Elisabeth I.
Tomado de: este enlace
El uso de cosméticos se incrementó en los siglos posteriores y con ello las enfermedades derivadas de ellos. En 1767 la famosa actriz de la corte inglesa Kitty Fischer murió de intoxicación por plomo. No obstante, no fueron los titulares de periódico los que contuvieron durante un tiempo estas prácticas, sino que esto se produjo por un cambio en la mentalidad social de la época.
Tras la coronación de la Reina Victoria en 1837, los cosméticos se asociaron a la decadencia del periodo anterior y cayeron en desgracia entre las clases elevadas. Las personas que los usaban eran consideradas frívolas, excéntricas e inmorales, aunque sí se siguieron utilizando en el ámbito del teatro.
Kitty Fischer.
Tomado de: este enlace
Tras la muerte de la Reina Victoria en 1901, el uso de cosméticos con plomo se incrementó, pero limitándose a las personalidades del cine y del teatro, puesto que había una mayor concienciación sobre sus efectos nocivos. En 1938 se estableció The Food, Drug and Cosmetic Act en EEUU, una ley sobre la prohibición de metales peligrosos en cosméticos. Ahora bien, ¿por qué es tan peligroso para la salud?
Veneno saturnino
El plomo (símbolo químico Pb) entra en el organismo principalmente por inhalación o ingestión, pero también se puede absorber por la piel. La enfermedad derivada por acumulación de plomo se conoce como plumbismo o saturnismo. Esta denominación proviene de los alquimistas medievales, que asociaban los metales a un planeta y vinculaban el plomo con Saturno por estar relacionado con caracteres fríos, grises y plomizos.
Tras entrar en el organismo, se acumula en los tejidos blandos, donde permanece hasta su expulsión alrededor de un mes o, en el caso del cerebro, de 2 o 3 años. Sin embargo, en el tejido óseo el plomo desplaza al calcio y se deposita en los huesos, aumentando su fragilidad, y ahí puede permanecer durante décadas. Para expulsarlo, principalmente se metaboliza en el hígado y se elimina por heces (hasta un 80%) y por orina.
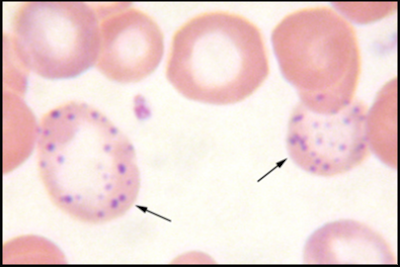
El plomo afecta a todos los órganos en los que se acumula. El tejido hematopoyético es el encargado de formar las células de la sangre y el plomo dificulta la síntesis de la hemoglobina en las células precursoras de los glóbulos rojos, los eritroblastos. Los eritrocitos defectuosos tienen un punteado característico cuando se observan al microscopio con una tinción Giemsa. Son más grandes y más frágiles, lo que causa que tengan menor vida media en el torrente sanguíneo y que se produzca anemia.
Eritrocitos con tinción Giemsa.
Tomado de: este enlace
El plomo es muy perjudicial también en el sistema nervioso. Existe una barrera que limita las sustancias que pueden pasar al cerebro —la barrera hematoencefálica—, pero el plomo la consigue atravesar por su capacidad de reemplazar al calcio. Al mismo tiempo, va deteriorando dicha barrera al dañar las células endoteliales que la forman. En el tejido nervioso, interfiere con procesos de comunicación entre neuronas y produce inflamación, lo que deriva en pérdida de mielina, la disminución del número de neuronas y la progresión hacia enfermedades como el Parkinson o el Alzheimer.
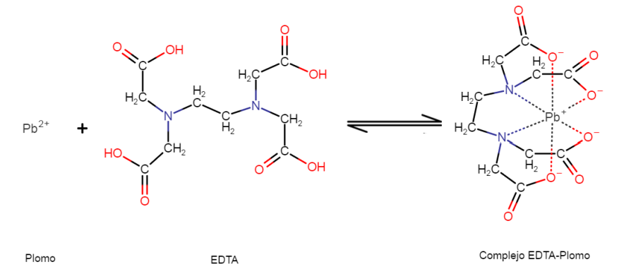
Se han desarrollado distintas terapias para tratar el saturnismo. Entre ellas, para capturar el plomo y retirarlo del organismo se utilizan unas moléculas llamadas quelantes. Estas moléculas, como el EDTA, envuelven al plomo y evitan que entorpezca allá donde se deposite, y que sea más sencillo eliminarlo.
Reacción de quelación del EDTA con el plomo.
Tomado de: este enlace
Bibliografía
[1] Witkowski J, Parish L. You’ve come a long way baby: a history of cosmetic lead toxicity. Clinics in Dermatology. 2001;19(4):367-370.
Disponible en: https://doi.org/10.1016/s0738-081x(01)00196-1
[2] P.S. Rawat, S. Singh. An overview of lead toxicity and its therapeutic strategies. Journal of Trace Elements in Medicine and Biology. 2026;93:127815. Disponible en: https://doi.org/10.1016/j.jtemb.2026.127815
[3] McMullen, R. L., & Dell’Acqua, G. History of Natural Ingredients in Cosmetics. Cosmetics. 2023; 10(3): 71. Disponible en: https://doi.org/10.3390/cosmetics10030071
[4] Universidad de Salamanca. Dicciomed: Saturnismo [Internet]. [Consultado el 11 de marzo de 2026]. Disponible en: Saturnismo – Dicciomed: Diccionario médico-biológico, histórico y etimológico
[5] Alende-Sixto MR, Casariego-Vales E. El saturnismo: un problema actual. Galicia Clínica. 2023;84(3):4-6. Disponible en: Vista de El saturnismo: un problema actual | Galicia Clínica
[6] Fernández T, Tamaro E. Biografías y Vidas: Plinio el Viejo. [Consultado el 11 de marzo de 2026]. Disponible en: https://www.biografiasyvidas.com/biografia/p/plinio_elviejo.htm
